At a time when it is vital to identify and treat individuals infected with the COVID-19 virus, it is also important to recognise and manage the symptoms of allergic rhinitis.
As confirmed COVID-19 cases soar well past 3 million worldwide, the race is on to find treatments for patients as soon as possible.
There is currently no peer-reviewed, published scientific evidence to support a direct link between use of ibuprofen and more severe infection with COVID-19.
While chlorpromazine’s use on people with schizophrenia has been overtaken by atypical antipsychotics, it is still used widely.
What infection control measures should pharmacists take to protect themselves, patients and staff against infectious diseases, such as COVID-19?
Pharmacists are regularly at risk...
Pentobarbital has a bad reputation. Better known by its famous brand name, Nembutal, the barbiturate was linked to the death of film star Marilyn Monroe.
Air pollution is making us sick according to local and global research, including a study linking exposure to air pollution with subsequent acute cardiac...
Pharmacists are encouraged to get a travel history for patients presenting with flu-like symptoms, with five cases so far in Australia1 of the novel...
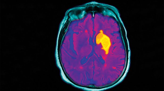
Guidelines for stroke management have been updated.
The time window for thrombolysis has been extended to 9 hours if brain imaging shows it will be...
Adapted by Ann Winkle MPS.
Regulatory bodies are warning of the potential for diabetic ketoacidosis (DKA) as a serious complication of sodium-glucose co-transporter 2 (SGLT2)...


















