Tips for reducing pharmacist burnout
Stress and burnout are common among health professionals, especially pharmacists. From taking adequate breaks and rest periods to professional education, Pharmacists’ Support Service (PSS)...
PBS offering could provide relief from severe asthma
A medication that promises to alleviate symptoms of severe asthma is now listed on the Pharmaceutical Benefits Scheme (PBS) under Section 100, giving patients...
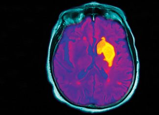
Stroke management in 2020
Guidelines for stroke management have been updated.
The time window for thrombolysis has been extended to 9 hours if brain imaging shows it will be...
Academic and hospital pharmacist Jacinta Johnson MPS
Growing up in the country, Jacinta Johnson MPS always wanted to work in a healthcare role, and pharmacy seemed to offer opportunities that no...
Tannic acid: The long-time player in medicine
From tanning ancient Egyptians to treating burns during World War 1, the use of tannic acid has evolved.
In 1925, Edward C. Davidson was a...
Rural pharmacy resource advocate
After moving from Sweden 20 years ago, Tasmanian Pharmacist of the Year Fred Hellqvist MPS, owner of Dover Pharmacy, has become a leading voice...














